

当院の治療症例について
ご紹介しております。

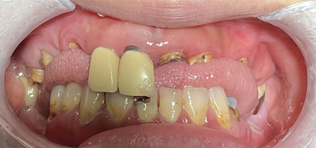
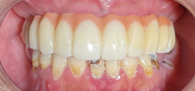
包括治療をしたケース。
治療後、メンテナンスをしないと再発するリスクがあります。
治療回数:1回〜6回 費用:15万円〜140万円

歯科恐怖症のため静脈内鎮静法での包括治療をしたケース。
治療後、メンテナンスをしないと再発するリスクがあります。
治療回数:1回〜6回 費用:19.8万円〜178.2万円

前歯のコンプレックスを包括治療したケース。
治療後、メンテナンスをしないと再発するリスクがあります。
治療回数:1回〜6回 費用:13.2万円〜171.6万円

包括治療をしたケース。治療後、メンテナンスをしないと再発するリスクがあります。
治療回数:1回〜6回 費用:15万円〜140万円

包括治療をしたケース。治療後、メンテナンスをしないと再発するリスクがあります。
治療回数:1回〜6回 費用:15万円〜140万円

包括治療をしたケース。治療後、メンテナンスをしないと再発するリスクがあります。
治療回数:1回〜6回 費用:15万円〜140万円

長年虫歯を放置したため包括治療をしたケース。
治療後、メンテナンスをしないと再発するリスクがあります。
治療回数:1回〜6回 費用:13.2万円〜121万円

長年受診しなかったため包括治療をしたケース。
治療後、メンテナンスをしないと再発するリスクがあります。
治療回数:1回〜6回 費用:13.2万円〜158.4万円

包括治療をしたケース。治療後、メンテナンスをしないと再発するリスクがあります。
治療回数:1回〜6回 費用:15万円〜140万円

包括治療をしたケース。
治療後、メンテナンスをしないと再発するリスクがあります。
治療回数:1回〜6回 費用:15万円〜140万円

包括治療をしたケース。
治療後、メンテナンスをしないと再発するリスクがあります。
治療回数:1回〜6回 費用:15万円〜140万円

包括治療をしたケース。
治療後、メンテナンスをしないと再発するリスクがあります。
治療回数:1回〜6回 費用:15万円〜140万円



来院から
「5時間」で
ここまで出来ます!



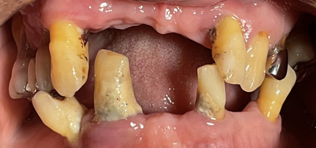
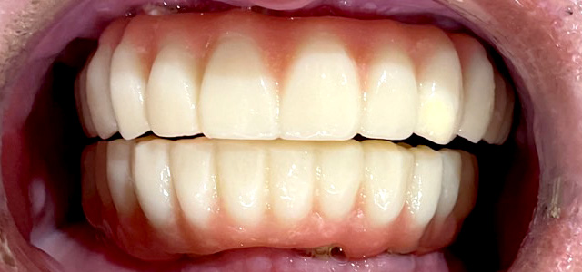
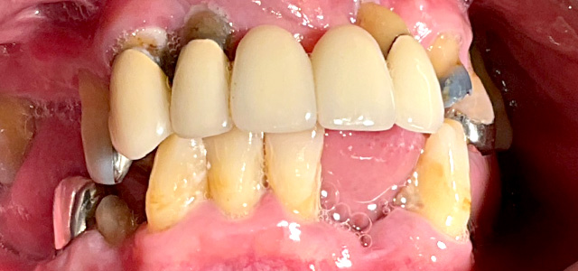
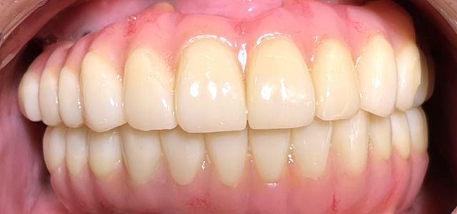
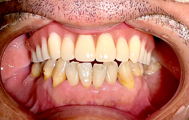
歯がボロボロのコンプレックスを包括治療したケース。
治療後、メンテナンスをしないと再発するリスクがあります。
治療回数:1回〜6回
費用:198万(キャンペーン価格)〜 352万(キャンペーン価格)



歯がボロボロのコンプレックスを包括治療したケース。
治療後、メンテナンスをしないと再発するリスクがあります。
治療回数:1回〜6回
費用:198万(キャンペーン価格)〜 352万(キャンペーン価格)



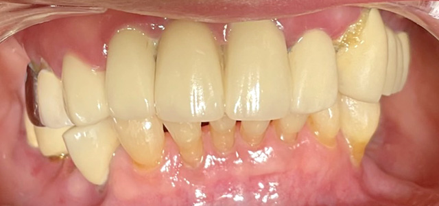
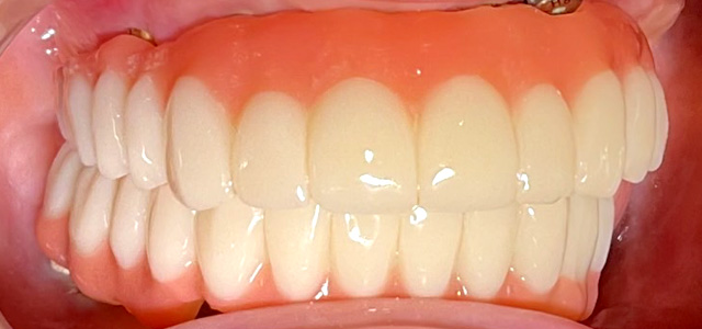
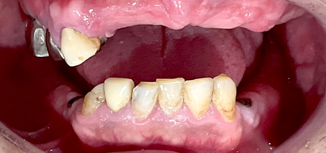
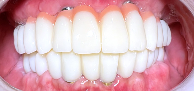
歯周病で歯がグラグラになり包括治療をしたケース。
治療後、メンテナンスをしないと再発するリスクがあります。
治療回数:1回〜6回
費用:198万(キャンペーン価格)〜 352万(キャンペーン価格)


歯周病で歯がグラグラになり包括治療をしたケース。
治療後、メンテナンスをしないと再発するリスクがあります。
治療回数:1回〜6回
費用:198万(キャンペーン価格)〜 352万(キャンペーン価格)



包括治療をしたケース。
治療後、メンテナンスをしないと再発するリスクがあります。
治療回数:1回〜6回 費用:198万(キャンペーン価格)〜 352万(キャンペーン価格)



包括治療をしたケース。
治療後、メンテナンスをしないと再発するリスクがあります。
治療回数:1回〜6回 費用:198万(キャンペーン価格)〜 352万(キャンペーン価格)


包括治療をしたケース。
治療後、メンテナンスをしないと再発するリスクがあります。
治療回数:1回〜6回 費用:198万(キャンペーン価格)〜 352万(キャンペーン価格)


包括治療をしたケース。
治療後、メンテナンスをしないと再発するリスクがあります。
治療回数:1回〜6回 費用:198万(キャンペーン価格)〜 352万(キャンペーン価格)


包括治療をしたケース。
治療後、メンテナンスをしないと再発するリスクがあります。
治療回数:1回〜6回 費用:198万(キャンペーン価格)〜 352万(キャンペーン価格)


包括治療をしたケース。
治療後、メンテナンスをしないと再発するリスクがあります。
治療回数:1回〜6回 費用:198万(キャンペーン価格)〜 352万(キャンペーン価格)


包括治療をしたケース。
治療後、メンテナンスをしないと再発するリスクがあります。
治療回数:1回〜6回 費用:198万(キャンペーン価格)〜 352万(キャンペーン価格)


包括治療をしたケース。
治療後、メンテナンスをしないと再発するリスクがあります。
治療回数:1回〜6回 費用:198万(キャンペーン価格)〜 352万(キャンペーン価格)